Tiempo de lectura: 8 minutos
El consumo de tabaco es uno de los hábitos más dañinos que puede tener una persona, no solo porque mancha los dientes, sino porque tiene graves consecuencias para la salud de las personas.
En este artículo te explicamos desde por qué el tabaco mancha los dientes hasta qué remedios caseros o tratamientos profesionales puedes utilizar para eliminar las manchas y blanquear tus dientes.
ÍNDICE
- ¿Por qué el tabaco mancha los dientes?
- Consecuencias de las manchas de tabaco en la salud bucal
- Métodos caseros para quitar las manchas de tabaco en los dientes
- Tratamientos profesionales para quitar manchas de tabaco
- Prevención de nuevas manchas de tabaco en los dientes
- Preguntas frecuentes sobre las manchas de tabaco en los dientes
¿Por qué el tabaco mancha los dientes?
El tabaco afecta la salud bucal en muchos sentidos, ya que mancha los dientes, aumenta el riesgo de sufrir enfermedades de las encías, y causa mal aliento.
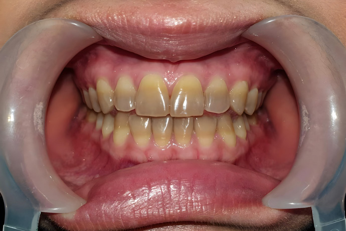
Todo esto, incluyendo las manchas en los dientes, se debe a algunos de sus componentes químicos, que tienen un efecto negativo sobre la salud de las personas y dañan el esmalte dental. Precisamente por esto es que resulta común ver manchas en los dientes de las personas que fuman.
Componentes del tabaco que afectan el esmalte dental
Fumar o masticar productos de tabaco hace que el esmalte dental se deteriore. Healthline señala que esto sucede por la presencia de componentes como la nicotina y el alquitrán, que hacen que los dientes se oscurezcan e incluso empiecen a verse marrones.
Cómo se forman las manchas por tabaco en los dientes
Las manchas causadas por el tabaco se forman cuando sustancias como el alquitrán y la nicotina entran en contacto con los dientes, ya sea a través del humo o de productos masticables de tabaco. Estos químicos se depositan sobre el esmalte de los dientes, y forman una capa que los mancha.
Esto, además, puede empeorar si la persona no tiene una buena higiene bucal, ya que los residuos de tabaco no se eliminan y se acumulan sobre los dientes.
Factores que aceleran la aparición de manchas en los dientes
Dentro de los factores que pueden acelerar la aparición de manchas en los dientes, por el consumo de tabaco, podemos mencionar la frecuencia con la que se fuma, una higiene bucal muy precaria, y el consumo de ciertas bebidas o alimentos.
Según WebMD, el vino, las bebidas deportivas y las bebidas gaseosas, contribuyen al deterioro del esmalte dental y a la aparición de manchas en los dientes.
Consecuencias de las manchas de tabaco en la salud bucal
Si hablamos de las manchas en los dientes por el tabaco es porque tienen un impacto significativo sobre la salud de las personas. Es decir, no solo se trata de un tema estético, sino que también tiene implicaciones para el bienestar de forma general.
Además, tal como lo explicamos al hablar sobre lo que pasa si no te lavas los dientes, una higiene bucal inadecuada puede acelerar estos daños y derivar en problemas adicionales.
Impacto estético de los dientes manchados
La apariencia de los dientes es la primera en sufrir por el consumo de tabaco, ya que, como mencionamos antes, los químicos del tabaco afectan el esmalte de los dientes. Los dientes amarillos o marrones de los fumadores afectan la percepción de higiene personal, y pueden ser causa de problemas de confianza y autoestima.
Por eso es que muchas personas que fuman transmiten una imagen de descuido y de mala higiene bucal.
Riesgos para la salud bucal por el consumo de tabaco
Las consecuencias del tabaco son muy amplias, y abarcan desde problemas con la apariencia de los dientes hasta enfermedades crónicas.
Un artículo publicado en la National Library of Medicine habla de esto, señalando que las personas que fuman corren el riesgo de padecer enfermedades como cáncer bucal, lesiones de la mucosa bucal, enfermedad periodontal, y caries dentales, entre muchas otras enfermedades más.

Seguros de salud con cobertura mundial
Si eres nuestro asegurado, en Bupa disponemos del servicio de Videoconsultas Blua que permite comunicarte con profesionales de la salud de forma rápida y confiable para que recibas el asesoramiento médico que necesitas. Incluido en tu póliza, sin deducible o coaseguro.
Métodos caseros para quitar las manchas de tabaco en los dientes
A pesar de que las manchas de tabaco pueden afectar la apariencia de las personas, no son un problema que no se pueda tratar. Existen infinidad de métodos caseros que te pueden ser de mucha ayuda para quitar este tipo de manchas y darle una mejor apariencia a tus dientes.
Vale señalar que si tienes manchas en los dientes, lo mejor es acudir a un centro odontológico y recibir tratamiento de parte de un especialista en el área. Los métodos caseros no son efectivos en todos los casos, y si no se toman las precauciones adecuadas se pueden generar problemas adicionales.
Uso de bicarbonato y limón para blanquear los dientes
Uno de los métodos más conocidos para eliminar las manchas de tabaco en los dientes es la mezcla de bicarbonato de sodio con limón. Sin embargo, esta solución limpiadora no solo elimina las manchas, sino que afecta el esmalte dental.
La pérdida de esmalte dental es un problema grave, porque deja expuestos los dientes y contribuye significativamente a la aparición de caries y sensibilidad dental.
El carbón activado para eliminar las manchas de tabaco
Las pastas dentales con carbón activado son otra de las alternativas para eliminar las manchas de tabaco en los dientes, pero al igual que sucede con la mezcla de bicarbonato y limón, este tipo de productos daña el esmalte dental. Además, un artículo de WebMD resalta que no hay suficientes datos clínicos o de laboratorio para afirmar que el carbón activado realmente elimina las manchas y blanquea los dientes.
Precauciones al usar métodos caseros
Si bien los métodos caseros pueden parecer una solución fácil y económica para eliminar las manchas de tabaco en los dientes, es importante tomar precauciones y tener en cuenta que lo que aquí compartimos no son consejos médicos. Antes de utilizarlos es mejor consultar a un dentista, y conocer bien los riesgos que se corre al utilizar remedios caseros para blanquear los dientes.
Tratamientos profesionales para quitar manchas de tabaco
Aunque algunas personas piensen en utilizar métodos caseros para eliminar las manchas de tabaco y blanquear sus dientes, existen diferentes tratamientos profesionales con los que no se corre ningún tipo de riesgo, y con los que se obtienen mejores resultados.
Blanqueamiento dental profesional
Penn Dental Family Practice señala que el blanqueamiento dental es uno de los tratamientos odontológicos más efectivos para eliminar cualquier tipo de mancha en los dientes, incluyendo las manchas de tabaco. Además, este tratamiento necesita muy poco tiempo, no es doloroso y ayuda a que los dientes tengan una mejor apariencia.
Limpieza dental con ultrasonido
Además del blanqueamiento dental, también se puede acudir a un dentista para realizarse una limpieza dental con ultrasonido. Este tipo de limpieza es muy útil para eliminar no solo las manchas del tabaco en los dientes, sino el sarro, la placa y cualquier otra impureza que se encuentre en los dientes.
Productos de uso profesional para blanquear los dientes
Existe una gran cantidad de productos de uso profesional para blanquear los dientes. Sin embargo, la European Commission señala que la mayoría de ellos tiene un componente principal: peróxido de hidrógeno.
La capacidad de blanquear los dientes que tiene cada uno de estos productos depende de la cantidad de peróxido de hidrógeno que contienen. De igual manera, se destaca el peróxido de carbamida, que se compone de peróxido de hidrógeno y urea.

Prevención de nuevas manchas de tabaco en los dientes
Eliminar las manchas de tabaco en los dientes no significa que te hayas librado de ellas de forma permanente, porque pueden volver a aparecer, sobre todo si no has abandonado el hábito de fumar y tienes una mala higiene bucal.
Cuidados diarios para evitar la aparición de manchas
Algo tan sencillo como lavarse los dientes te puede ayudar a prevenir la aparición de manchas en los dientes, especialmente, porque el cepillado elimina prácticamente cualquier residuo que haya quedado en los dientes o entre ellos.
Utilizar hilo dental antes o después de cepillarse también te puede servir para mantener una buena higiene bucal, así que te recomendamos incorporar su uso dentro de tu rutina de cuidado dental.
Cambios en los hábitos para mejorar la salud dental
Para prevenir la aparición de nuevas manchas de tabaco en los dientes es fundamental que realices algunos cambios de hábitos. Para empezar, debes empezar por dejar de fumar, ya que las manchas de tabaco aparecen como consecuencia de este hábito.
Si te cuesta dejar el tabaco, vale la pena que investigues bien cuáles son los beneficios de dejar de fumar, porque no solo vas a tener una sonrisa más blanca, sino que puedes evitar el desarrollo de algunas enfermedades crónicas.
Preguntas frecuentes sobre las manchas de tabaco en los dientes
Ya hemos explicado a detalle qué por qué aparecen manchas en los dientes por el consumo de tabaco y qué debes hacer para prevenirlas. Sin embargo, te compartimos una pequeña lista de preguntas frecuentes sobre el tema.
¿Es posible fumar sin manchar los dientes?
No, no es posible fumar sin mancharse los dientes. El tabaco contiene químicos que penetran el esmalte dental y afectan su apariencia, algo que no se puede evitar mientras se mantenga el hábito de fumar.
¿Cuánto tiempo tardan en formarse las manchas por tabaco?
No hay forma de determinar cuánto tiempo pueden tardar en formarse manchas en los dientes por el consumo de tabaco, porque se deben tomar en cuenta factores como la higiene dental, la frecuencia con la que se fuma y el estado del esmalte dental. Sin embargo, estas manchas pueden empezar a aparecer hasta una semana después de adquirir el hábito de fumar.
¿Se puede eliminar completamente el efecto del tabaco en los dientes?
Las manchas de tabaco en los dientes se pueden eliminar por completo, sin embargo, los algunos efectos negativos del consumo de tabaco pueden ser permanentes. Se debe tener presente que las personas que fuman no solo se exponen a la aparición de manchas en los dientes, sino a la pérdida del esmalte dental y al desarrollo de diferentes enfermedades.
¿Qué alimentos y bebidas acentúan las manchas en los dientes?
Tal como mencionamos antes, hay algunos alimentos y bebidas que pueden adherirse al esmalte dental y mancharlo. La lista es muy amplia, pero dentro de ellos se destacan las bebidas ácidas, las bebidas gaseosas, el café y el vino.
Fuentes:
- https://www.ncbi.nlm.nih.gov/pmc/articles/PMC9932248/
- https://www.healthline.com/health/how-to-remove-nicotine-stains-from-teeth#whitening-options
- https://www.webmd.com/oral-health/ss/slideshow-foods-stain-teeth
- https://www.ncbi.nlm.nih.gov/pmc/articles/PMC9875717/
- https://eberhardtdentistry.com/uncategorized/how-to-remove-tobacco-stains-on-teeth-instantly/
- https://www.webmd.com/oral-health/what-to-know-about-activated-charcoal-whitening
- https://www.sensu.co.uk/is-it-safe-to-whiten-teeth-with-baking-soda-and-lemon-juice/
- https://mypenndentist.org/dental-tips/2024/02/13/how-to-remove-stains-from-teeth/
- https://www.matthewsfamilydentistry.com/blog/how-to-get-rid-of-teeth-stains/
- https://ec.europa.eu/health/scientific_committees/opinions_layman/es/blanqueadores-dentales/index.htm
- https://jordanelbridgefamilysmiles.com/how-long-does-it-take-for-smoking-to-affect-teeth/
